Zirconia crowns with gold-plated abutment and implant seating guide

Implant Crown and Bridge At Bluesky dental lab, we offer three distinct implant crown retention methods to address diverse clinical scenarios and patient requirements.Cement-Retain
Send Inquiry

Products Description

Implant Crown and Bridge

 

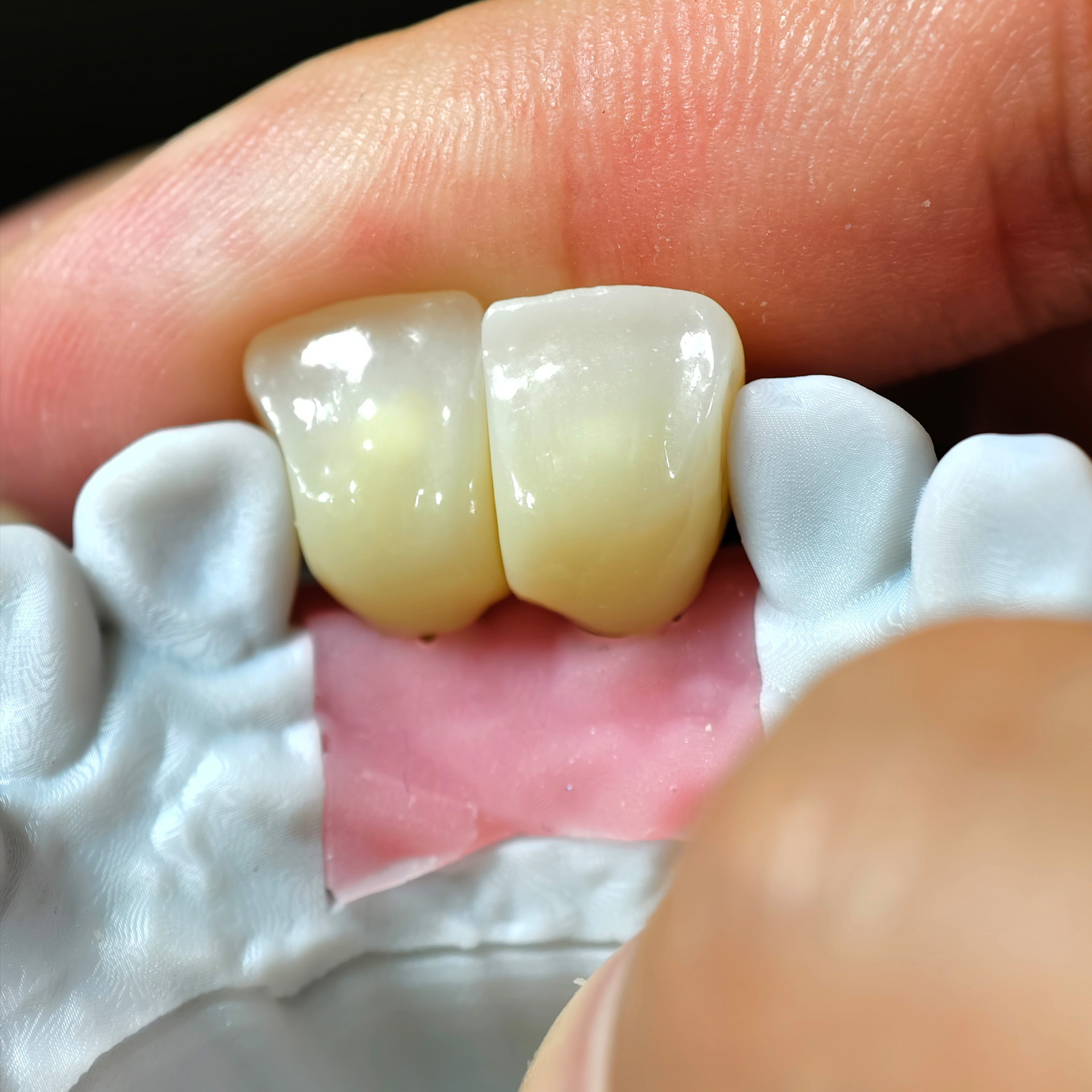
At Bluesky dental lab, we offer three distinct implant crown retention methods to address diverse clinical scenarios and patient requirements.


1755142295533.jpg



Cement-Retained 

  • Superior Esthetics – No visible access holes create a seamless appearance that closely mimics natural tooth structure, ideal for high-smile-line patients

  • Optimal for Anterior Applications – Maximum esthetic results in high-aesthetic zones where screw access holes would create unacceptable cosmetic compromise
  • Accommodates Implant Angulation – Provides flexibility when implant positioning would place screw access hole on facial surface, allowing correction through abutment design
  • Familiar Clinical Workflow – Similar to traditional crown cementation on natural teeth, requiring no new techniques or specialized delivery protocols
  • Enhanced Porcelain Integrity – Higher resistance to porcelain fracture compared to screw-retained alternatives due to uninterrupted crown structure


Overview
The choice between screw-retained and cement-retained restorations depends on specific clinical factors, including implant positioning, available restorative space, aesthetic demands, and retrievability considerations. Both retention methods have similar complication rates of 3-5%, but each has distinct advantages for different clinical scenarios.

When to Use Cement-Retained Implants
Choose cement-retained restorations when working in high-aesthetic anterior cases where implant angulation would place the screw access hole on the facial surface, creating cosmetic compromise, or when maximum esthetic demands require seamless appearance. Cement-retained cases require careful cement cleanup to prevent bacterial colonization and tissue inflammation that can jeopardize implant success.

When to Use Screw-Retained Implants
Select screw-retained restorations when implant positioning allows the access channel to exit through the cingulum anteriorly or central groove posteriorly, when restorative space is limited (requiring less space than cement-retained options), or when retrievability is important for future maintenance and repairs. Screw-retained options are advantageous in posterior applications and eliminate the risk of residual cement complications that can lead to peri-implantitis and implant failure.

When to Use Screwmentable Crowns
Choose screwmentable crowns when you need precise seating control and occlusal adjustment capabilities of cement-retained restorations while maintaining the retrievability and hygiene benefits of screw retention. This hybrid approach is ideal for complex bite relationships, challenging implant angulation, or when you need to verify perfect abutment fit before crown placement, all while avoiding intraoral cement complications and their associated risks.


Leave Your Message


Leave a message