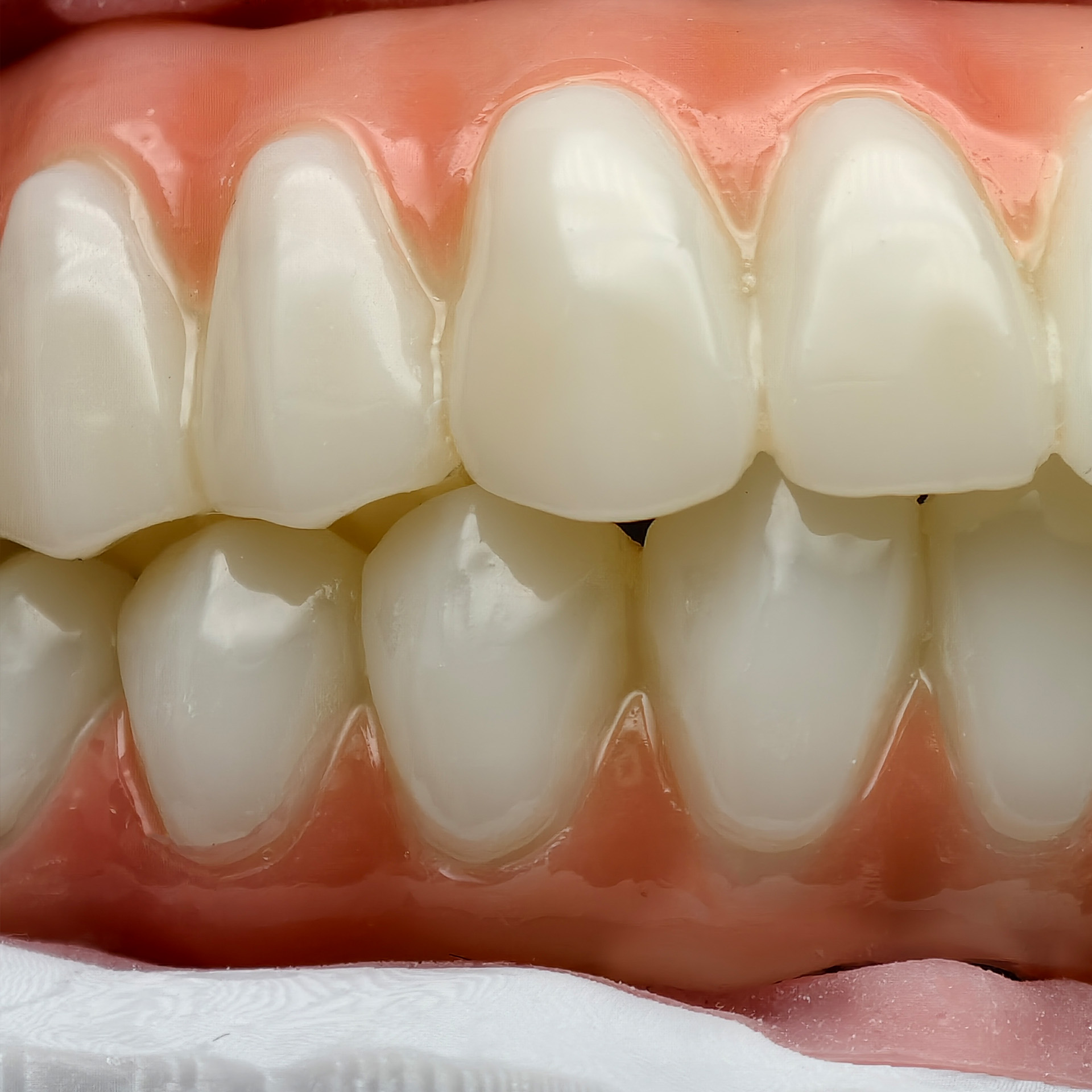
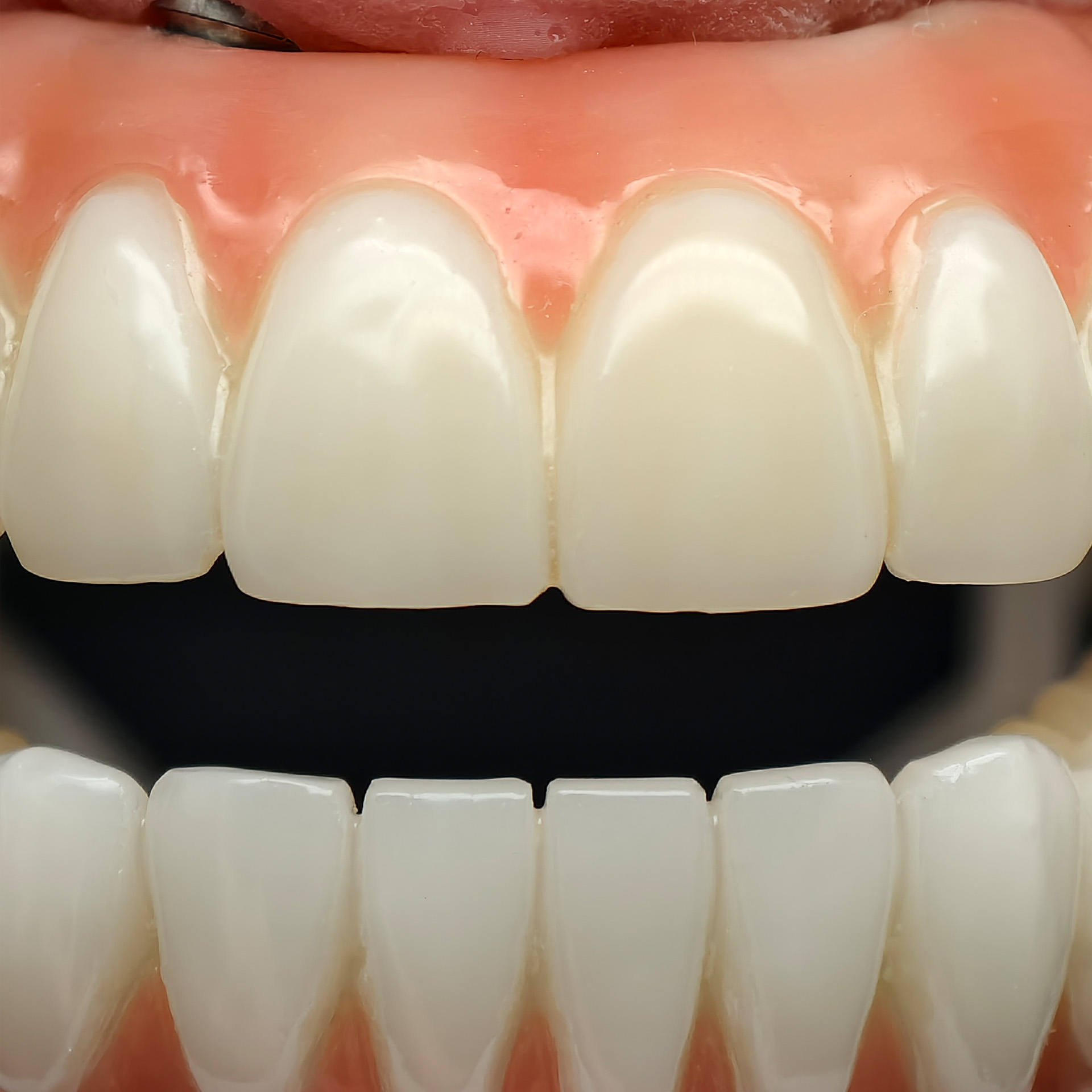
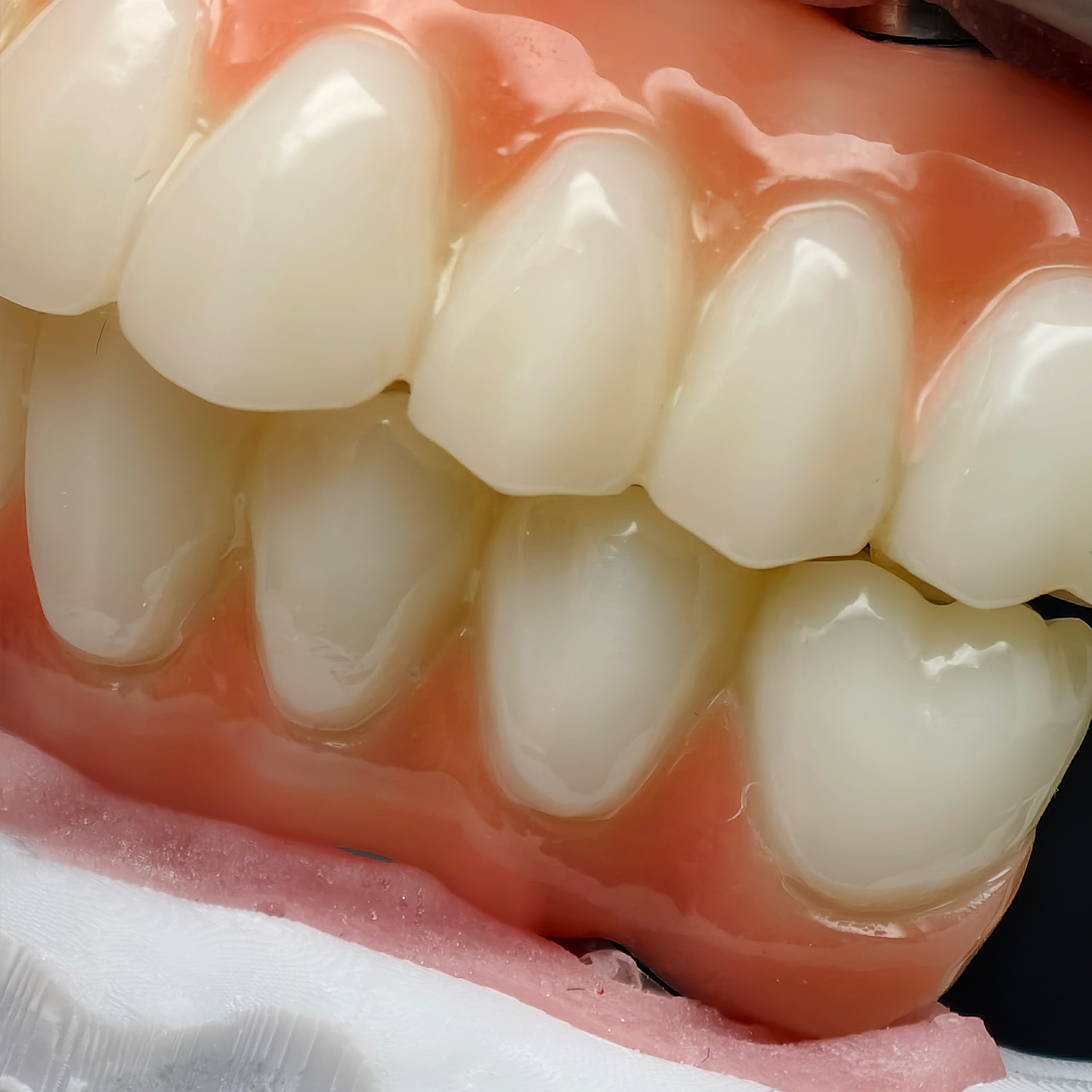
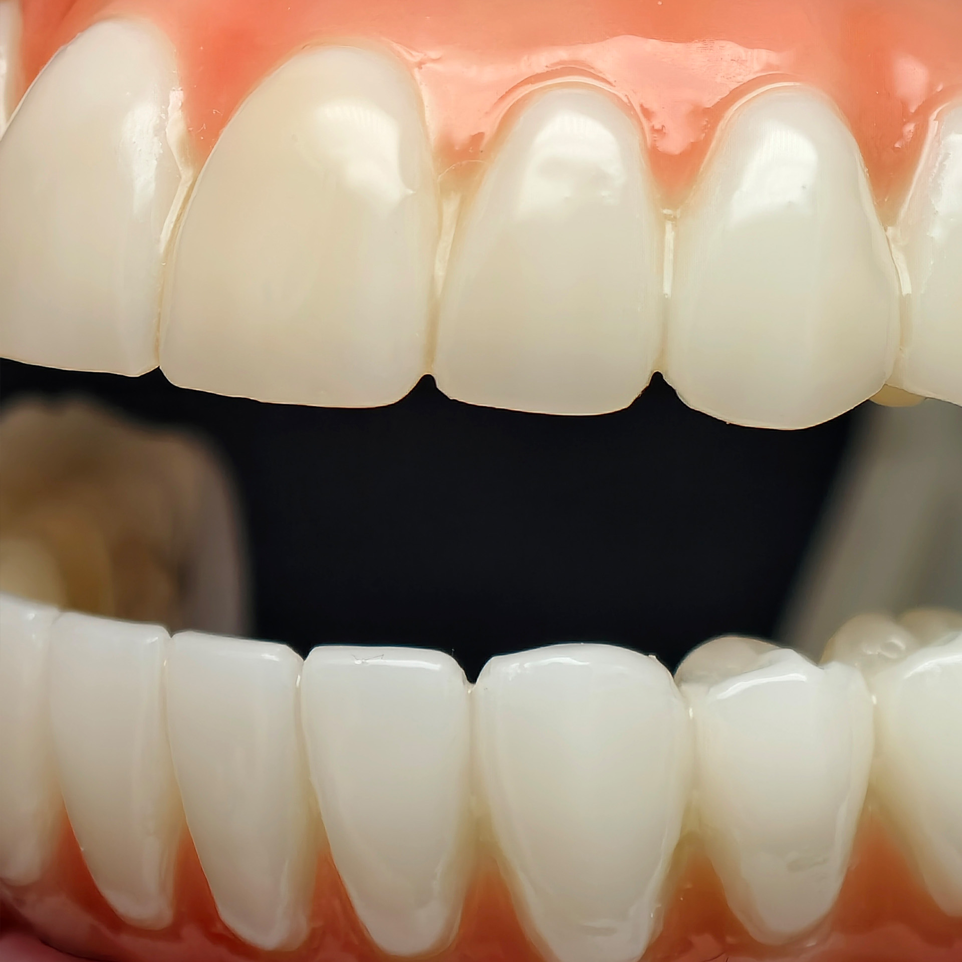
PMMA bridge with Ti-base screw retained trying for full arch restoration

An pmma bridgeA pmma bridge is a type of dental restoration made from polymethyl methacrylate (pmma), a durable and aesthetic plastic. It's commonly used for temporary or long-
Send Inquiry

Products Description

An pmma bridge


pmma bridge is a type of dental restoration made from polymethyl methacrylate (pmma), a durable and aesthetic plastic. It's commonly used for temporary or long-term provisional restorations, especially in full-arch implant cases, and is known for its strength, flexibility, and ability to be screw-retained for easy removal and adjustment. 


Key characteristics of pmma bridges:


  • Material:


        pmma is a type of acrylic plastic that is biocompatible and relatively strong. 


  • Purpose:


        Temporary restorations: Often used during the healing phase after dental implant placement, or while permanent restorations are being fabricated. 


        Long-term provisional restorations: Can be used for extended periods, particularly in cases like full-arch implant restorations where a permanent 


        solution may take time. 


        Trial bridges: Allow patients to "try out" a new smile before committing to a permanent restoration. 


  • Screw-retained:


        pmma bridges can be designed to be screw-retained, allowing for easy removal and adjustment by the dentist. 


  • CAD/CAM Technology:


        PMMA bridges can be fabricated using CAD/CAM technology, ensuring a precise fit and good aesthetics. 


  • Aesthetics:


        PMMA can be made in various shades to match a patient's natural teeth. 


  • Durability:


        While durable, PMMA is not as wear-resistant as some other materials like zirconia and may be more prone to breakage or staining over time. 


PMMA bridges are a versatile and effective solution for various dental needs, offering a combination of strength, aesthetics, and ease of use, particularly in implant dentistry. 


Records Needed


  • PVS or digital impressions, and a bite registration

  • Scan data of unprepared teeth

  • Retracted photographs of the patient biting in centric, left, right, and straight on

  • Photos with resting, smiling, laughing

  • Surgical implant plan


Leave Your Message


Leave a message